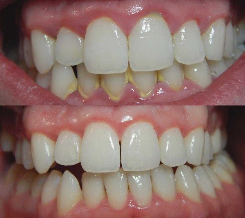
Tártaro, também chamado de cálculo ou cálculo dental, é a placa que endureceu em seus dentes devido à deposição de minerais na placa. Ele também pode se formar na borda das gengivas e abaixo delas, podendo até irritar os tecidos gengivais.
Muitas pessoas não se preocupam com sua higiene bucal e, portanto, tendem a ter muitos problemas no futuro, um deles é nada menos do que o tártaro.
Para aqueles que não sabem, o cálculo dental é uma substância amarela dura que tende a ficar nas bordas de seus dentes. Esta substância aparece devido ao acúmulo de placas grandes e é conhecido domo tártaro.
Se você sofre de tártaro, felizmente, desta vez vamos divulgar uma mistura com o qual você pode remover o tártaro dos dentes em apenas 5 minutos. Inacreditável né?
Confira abaixo:
Ok, agora vamos para a parte mais importante deste artigo, em que revelamos os ingredientes e como prepará-los.

Ingredientes:
- Bicarbonato de sódio
- Escova de dente
- Água oxigenada volume 10
- Sal
- Palitos de dente
- Antisséptico bucal
Preparação:
Passo 1: A primeira coisa a fazer é misturar em um copo uma colher de sopa de bicarbonato de sódio com meia colher de chá de sal em um copo.
Após molhar a escova em água morna, mergulhe-a na mistura e esfregue seus dentes com a escova (cuspa os resíduos em seguida). Continue esse mesmo processo por cinco minutos para ir enfraquecendo o tártaro.
Passo 2: Misture um copo cheio de água oxigenada com meia xícara de água morna e chacoalhe em sua boca por um minuto, em seguida, cuspa e enxague com metade de um copo de água fria.
Passo 3: Raspe o tártaro dos dentes com um palito. Tenha cuidado para não arranhar as gengivas, porque elas podem ficar irritadas e sangrar.
Passo 4: Lave a boca com um enxaguante antisséptico bucal e repira o processo a cada dois dias.
Como prevenir a formação de tártaro
- Escovação: escove os dentes por dois minutos pelo menos 2 vezes ao dia (de preferência após cada refeição e antes de dormir). Escolha uma escova de dente não muito grande, com os fios macios e arredondada para chegar facilmente a todas as superfícies de sua boca, assim como nos dentes de trás.
- Fio dental: Use pelo menos uma vez por dia
- Antisséptico bucal: Ele é importante para a higiene oral, uma vez que por ser líquido consegue atingir os espaços mais apertados.
- Consultar um dentista: Ir ao dentista pelo menos uma vez a cada 6 meses para uma revisão ou realizar procedimentos odontológicos.
A partir de agora você sabe como acabar com o tártaro de uma vez por todas. Compartilhe esta informação!




